一、什么是支气管扩张?
支气管扩张症是由于急、慢性呼吸道感染和支气管阻塞后,反复发生支气管化脓性炎症,致使支气管壁结构破坏,管壁增厚,引起支气管异常和持久性扩张的一类异质性疾病的总称。

二、支气管扩张的病因
1.既往下呼吸道感染:如婴幼儿和儿童时期得过麻疹、百日咳、肺结核、肺炎等。
2.免疫功能缺陷:如艾滋病病毒感染、长期使用免疫抑制药物等。
3.遗传因素:如α1-抗胰蛋白酶缺乏、纤毛运动障碍、巨大气管-支气管症、软骨缺陷等。
4.气道阻塞和反复误吸:如气道异物吸入、气道内肿瘤阻塞、毒性物质吸入、吞咽困难或胃食管返流导致反复误吸等。
5.其他肺部疾病:如变应性支气管肺曲菌病、慢性阻塞性肺病、哮喘等。
6.其他系统疾病:如类风湿关节炎、原发性干燥综合征、系统性红斑狼疮、抗中性粒细胞胞质抗体相关性血管炎、强直性脊柱炎等。
三、支气管扩张的诊断方法
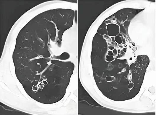
胸部CT检查:高分辨CT(HRCT)可在横断面上清楚地显示扩张的支气管,由于无创、易重复和易接受的特点,已成为支气管扩张的主要诊断方法。

四、支气管扩张的症状
、
1.持续或反复咳嗽、咳(脓)痰:是常见症状。当支气管扩张伴急性感染时,可表现为咳嗽、咳脓痰和伴随肺炎。
2.呼吸困难和喘息:提示广泛的支气管扩张或潜在的慢性阻塞性肺疾病。
3.咯血:50%-70%的病人可发生咯血,由于小动脉被侵蚀或增生血管被破坏可引起大咯血。
五、支气管扩张的治疗
1.治疗基础疾病:对活动性肺结核伴支气管扩张应积极抗结核治疗,低免疫球蛋白血症可用免疫球蛋白替代治疗。
2.控制感染:出现急性感染征象如痰量或脓性成分增加需应用抗感染药物。
3.改善气流受限:支气管扩张病人应常规随访肺功能的变化。应用长效支气管舒张药可改善气流受限,并帮助清除分泌物。
4.清除气道分泌物:包括物理排痰和化痰药物。物理排痰如体位引流、振动排痰、雾化吸入、正压通气、主动呼吸训练等。药物包括黏液溶解药、痰液促排药、抗氧化药等。
5.免疫调节剂:使用促进呼吸道免疫增强的药物,如细菌细胞壁解产物可以减少支气管扩张症的急性发作。
6.咯血的治疗:反复咯血的病人,出血量少,可对症治疗或口服云南白药;中等出血量者,可静脉给予垂体后叶素或酚妥拉明;出血量大、经内科治疗无效者,可考虑介入栓塞或手术治疗。
7.外科治疗:局限性的支气管扩张,经充分内科治疗后仍反复发作者,可考虑外科手术切除病变组织。
六、调畅情志
1.医护人员详细讲解疾病治疗的目的、过程、疗效及其安全性,解除患者的疑虑,使患者以良好的心态接受治疗。
2.患者保持乐观,消除担心、害怕等不良情绪,增强战胜疾病的信心和决心。
3.保持情绪稳定,患者一旦咯血常有精神紧张和恐惧心理,因情绪波动会加重病情;学会使用放松的技巧,如缓慢呼吸、听轻音乐、练气功等。
七、出院康复管理
1.认识防治呼吸道感染的重要性,及时清除上呼吸道慢性病灶。
2.尽量避免受凉,减少刺激性气体吸入,戒烟。
3.对大量脓痰病人,学会体位引流的方法。
4.咯血时不能屏气,也不能惊慌,应及时就诊。
5.加强身体锻炼,注意营养,对合并肺气肿者,应进行呼吸运动锻炼。
6.体位引流方法:
